最新消息
輔助診斷_疑有罹癌症狀
Last Updated on 2025-04-25 by 寵訊生醫
吉祥
13歲10個月丨已絕育雄性丨米克斯丨17公斤

受檢毛孩資訊
檢測目的: 輔助診斷
☑ 7歲以上高齡犬
☑ 曾出現疑似癌症病徵
臨床描述
吉祥出現跛腳及無力感現象,四肢及身體外觀正常,但體重明顯下降且伴隨異常血液生化檢查結果。
為什麼選擇「癌識優®」
吉祥已是高齡犬,希望以非侵入性的方式,找出病因,檢測是否罹患癌症。
癌識優®檢測結果


(癌識優®檢測結果無法單獨構成最終的臨床決策依據。「偵測到癌症訊號」的結果,須進一步由影像或組織切片等檢查確認診斷癌症。)
- 變異位點與犬癌症的骨肉瘤、軟組織肉瘤、黑色素瘤、血管瘤、淋巴瘤及肥大細胞瘤等相關。
- 建議進一步檢查追蹤確認腫瘤位置。
臨床檢測與診斷

吉祥出現跛腳及無力感症狀,血檢結果顯示四碘甲狀腺素總量異常,醫師懷疑可能罹患甲狀腺癌,進行癌識優®檢測偵測到癌症訊號,變異基因與甲狀腺癌無相關性,初步排除甲狀腺病變。
確診癌種
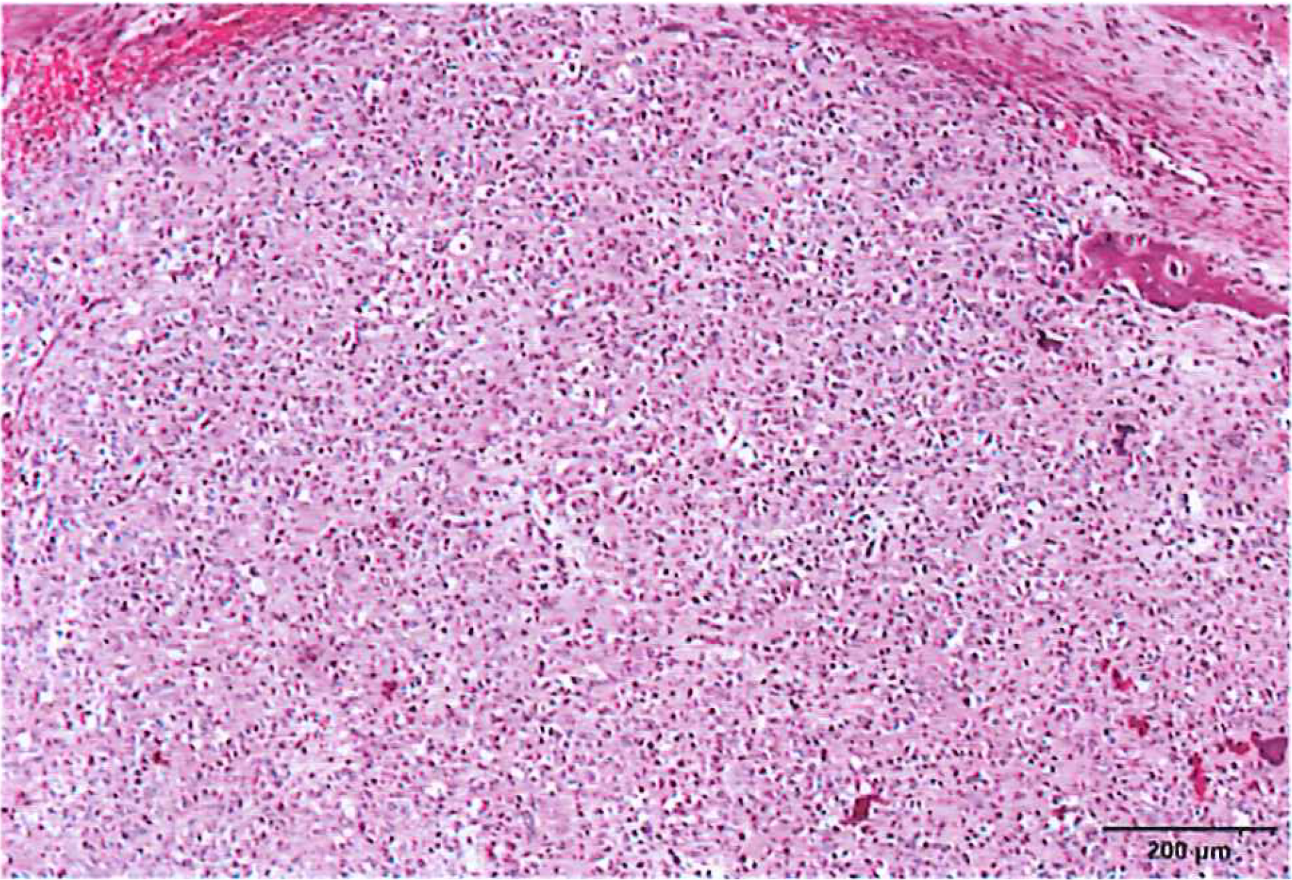
吉祥雖有持續接受藥物治療,右前肢無力跛行無明顯改善,於癌識優®檢測結果為陽性兩個月後,上膊骨位置於短時間內快速腫大,X光檢測發現新生骨贅、軟組織增生及疑似腫瘤團塊,經組織病理診斷為骨肉瘤。

X光影像檢測,軟組織腫脹、骨贅新生明顯

病理組織切片,確認骨肉瘤細胞型態
癌識優®臨床應用價值
利用癌識優®進行全身性檢查,廣泛篩檢20種不同犬癌症,比傳統檢測提早2個月發現癌症訊號,分析可能罹癌種類、縮小癌種範圍,讓醫師能在黃金時間內掌握病情資訊,即時規劃治療方向。
醫師的話

禾原動物醫院 院長 陳威廷 獸醫師
科技日新月異,現在透過抽血檢測就可以知道家中毛小孩是否罹患癌症,比起以往傳統檢查提早將近3個月就可以知道答案,是真正可以防範於未然的利器。