最新消息
追蹤監控_更安全有效監測泌尿上皮癌
Last Updated on 2025-05-16 by 寵訊生醫
Georgia(化名)
15歲丨已絕育雌性丨貴賓犬丨6.6 公斤

受檢毛孩資訊
檢測目的: 輔助診斷、追蹤監控
☑ 7歲以上高齡犬
☑ 避免侵入性檢查及採檢
☑ 量化及持續監控癌症變化
臨床描述
Georgia出現血尿及尿路阻塞現象,檢查發現膀胱及尿道有多發疑似腫瘤團塊,確診罹患移行上皮細胞癌。
為什麼選擇「癌識優®」
Georgia已是高齡犬,希望能避免麻醉,以非侵入性的方式,追蹤監控癌症動態變化、評估癌症治療效果。
癌識優®檢測結果


(癌識優®檢測結果無法單獨構成最終的臨床決策依據。「偵測到癌症訊號」的結果,須進一步由影像或組織切片等檢查確認診斷癌症。)
- 這些變異位點曾在犬癌症的移行上皮細胞癌等多種癌症報導過。
- 建議輔助性治療及持續定期追蹤。
臨床檢測與診斷

Georgia出現血尿及尿路阻塞症狀,臨床檢查發現膀胱進尿道區域有團塊,內視鏡檢查也觀察到陰戶沿尿道開口至膀胱可見多發大小不一的團塊。
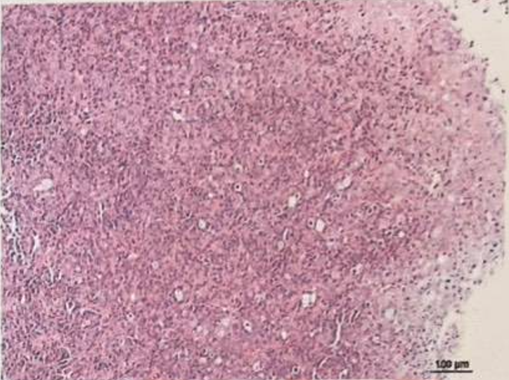
確診癌種

病理組織切片,確認移行上皮腫瘤細胞型態
經內視鏡採樣檢體,組織病理診斷為移行上皮細胞癌,預計接受免疫治療。
癌識優®臨床應用價值
BRAF基因突變在犬隻膀胱移行上皮細胞癌及攝護腺上皮癌是典型的變異,以往僅限尿液或團塊檢體才能檢測;然而,BRAF基因突變雖常見於梗犬患者(約70-80%),其他品種癌犬僅30-40%帶有此變異,使檢出率在不同品種的癌犬有明顯差異。
癌識優®透過血液同時偵測到BRAF和ARID1A基因位點變異,相較於單一PCR檢測,不僅提供更全面的基因變異資訊,大幅提高癌症檢出率,測得癌症訊號可以量化分析,達到安全、即時、準確監控癌症動態變化。
癌識優®檢測只需抽血,犬患者不須承擔麻醉與內視鏡檢查的侵入性風險,即可全身性檢查,有效追蹤癌症進程。
醫師的話

設想動物醫院 院長 林耿玄 獸醫師
在免疫治療的過程中,有一種新的癌症基因檢測,來輔助診斷及評估免疫治療的效果。
也是一件美事!