最新消息
治療評估_口腔鱗狀上皮癌細胞清除成效
Last Updated on 2025-08-01 by 寵訊生醫
妹妹
14歲丨已絕育雌性丨柴犬丨9.7 公斤

受檢毛孩資訊
檢測目的: 治療評估
☑ 7歲以上高齡犬
☑ 即時掌握治療成效
臨床描述
妹妹牙齦嚴重出血,經檢查發現牙齦腫塊,確診罹患鱗狀上皮細胞癌,進行手術切除及免疫治療。
為什麼選擇「癌識優®」
妹妹已是高齡犬,希望以安全、低侵入性的方式,評估治療的效果。
癌識優®檢測結果
- 手術與免疫治療後沒有偵測到癌症訊號,顯示體內無殘存癌細胞,代表腫瘤完全被切除且尚無復發跡象。
- 治療後陰性結果仍建議每3~6個月進行1次篩檢,定期追蹤。
臨床檢測與診斷
妹妹因牙周病滿口流血就醫,檢查發現牙齦病變,手術切除左下顎第一前臼齒(305)牙齦腫塊。

牙齦出血,出現團塊
確診癌種
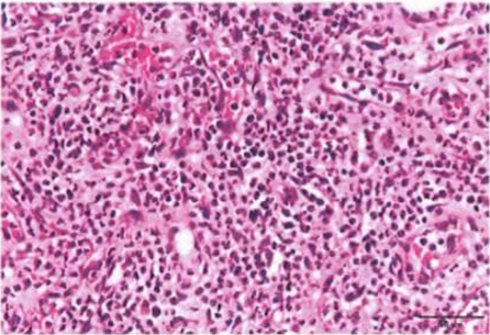
經組織病理學診斷為鱗狀上皮細胞癌,術後接受免疫細胞治療數個月,待療程結束後三週,以癌識優® 檢測評估治療效果。

病理組織切片,確認鱗狀上皮癌細胞型態
癌識優®臨床應用價值
手術切除腫瘤團塊後,通常已無癌變組織可供傳統檢測分析,術後難以追蹤及評估後續治療效果。
癌識優®以液態切片技術克服組織檢體採檢不足量及其困難,只需抽血即可檢測分析來自犬癌症患者體內癌細胞的基因變異,具高靈敏度及精確度,幫助醫師評估腫瘤切除完整性、即時掌握治療成效。
醫師的話
禾原動物醫院 院長 陳威廷 獸醫師
可愛的柴妹妹,從幼犬看著她長大,去年因牙周病滿口流血就醫,術中發現牙齦病變,切下後做病理切片,結果發現是鱗狀上皮細胞癌,選擇免疫細胞治療後做癌識優®檢查,幸好治療有效,檢測結果是陰性反應。
(癌識優®檢測結果無法單獨構成最終的臨床決策依據。「未測到癌症訊號」的結果,無法完全排除癌症的可能性。)



