最新消息
治療評估_量化追蹤淋巴瘤治療效果
Last Updated on 2026-02-26 by 寵訊生醫
胖弟
8歲丨未絕育雄性丨瑪爾濟斯丨4.54 公斤
受檢毛孩資訊
檢測目的: 治療評估
☑ 持續評估腫瘤動態
☑ 量化追蹤治療效果
臨床描述
胖弟就診前出現咳嗽症狀、雙側下頷淋巴結及腹股溝淋巴結腫大,伴隨活動力和食慾下降等情形;確診罹患多中心型B細胞淋巴瘤第四期b期,後續接受化學治療。
為什麼選擇「癌識優®」
胖弟已是高齡犬,希望以低侵入性的方式,評估療程各階段的治療反應,持續監控腫瘤復發情形。
癌識優®檢測結果


- 變異位點與犬癌症的淋巴瘤相關。
- 治療前的檢測結果,測得兩個變異基因位點;一個變異點於治療後一週消失;另一個變異點則於治療後一個月消失,呈陰性結果。
- 治療後的病犬,仍建議持續定期追蹤,以達到良好的健康管理。
臨床檢測與診斷



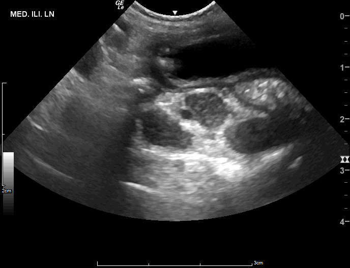
胖弟的全身淋巴結腫大,觸診時無疼痛,最大為左側腹股溝淋巴節,達3×2.2×0.8公分;以細針採樣,經細胞學檢查及流式細胞儀檢驗細胞表現抗原分析,確診罹患多中心型B細胞淋巴瘤第四期b期,後續接受化學治療。

流式細胞儀檢測,識別B淋巴球亞群

腹腔超音波檢測,腸骨下淋巴結腫大
療程期間以癌識優®檢測,觀察發現治療前所測得的癌症訊號持續下降,伴隨全身淋巴結消腫,回復正常大小。治療結束後追蹤時,先前腫大的淋巴結仍維持消退狀態,達到完全緩解。
癌識優®臨床應用價值
提供量化數據持續追蹤癌症訊號變化趨勢,即時評估腫瘤治療動態反應。
檢測量化趨勢符合臨床觀察,抽血即可精準監控治療後病情。